写真模特晒CT证“天然胸”引热议 脂肪丰胸CT难显影成关键
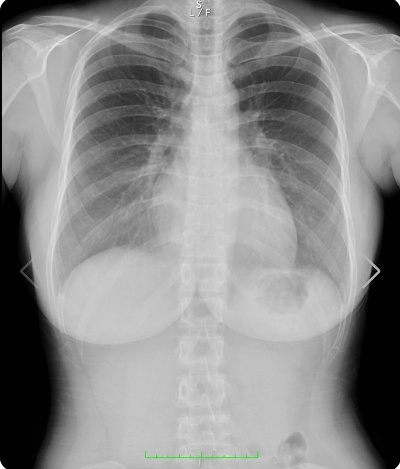
近日,日本写真模特圈掀起一场特殊的“证明热潮”,部分写真模特为自证未使用Motiva假体隆胸,纷纷在社交平台公开胸部CT影像,试图以医学检查结果打破外界质疑。
然而这一行为引发网友热议,有观点指出,CT影像并非“万能证明”,其检测效果与隆胸方式密切相关,部分隆胸手段根本无法通过CT识别。
据医美行业专业知识显示,不同隆胸方式在CT影像上的显影效果差异显著。其中,硅胶假体隆胸由于假体本身具有特定密度和规整形状,在CT图像上能呈现出清晰的均匀密度影,边界分明,可轻松被识别;复合式隆胸(假体与自体脂肪结合的方式),因包含硅胶假体成分,同样能通过CT影像检测出来。
但备受关注的是,脂肪隆胸(尤其是浓缩脂肪丰胸,即日本医美领域常见的コンデンスリッチ豊胸),在CT影像上几乎无法显影。据悉,浓缩脂肪丰胸是自体脂肪隆胸的一种,通过特殊技术提取并浓缩自身健康脂肪细胞,再移植到胸部,其脂肪组织与人体正常脂肪组织性质相近,CT难以准确区分,需结合其他检查手段才能综合判断。这也意味着,若模特采用此类隆胸方式,即便公开CT影像,也无法证明其胸部为“天然状态”。
基于这一常识,有网友公开表达了对部分写真模特“突然爆乳”的质疑,其中就包括せいせい和加藤日向。该网友表示,自己对两人近期胸部的明显变化完全不信,其信任度甚至不及对樱田(さくらたん)鼻整形的信任。后者的鼻整形争议,如同娱乐圈常见的医美话题,其痕迹相对易被察觉,而前者的“爆乳”现象,若采用浓缩脂肪丰胸方式,根本无从通过CT影像核实。
浓缩脂肪丰胸因采用自体脂肪,具有外观自然、触感真实、排异风险低等特点,近年来在日本写真模特、艺人圈层中应用较广。此次写真模特晒CT证“天然”的热潮,也间接让这类“隐蔽式”医美方式走进大众视野,引发网友对“医美证明边界”的讨论:“CT只能排除假体,不能证明没做脂肪丰胸,晒片更像一种营销手段”。
